〒500-8076 岐阜県岐阜市司町22
JR東海道線「岐阜駅」よりバス10分、タクシー10分
京都、大阪、名古屋、大垣市、多治見市、各務原市からも来院多数

電話でのお問合せ・入れ歯相談予約

0120-836-335
診療時間
火曜・水曜・金曜・土曜
9:30~13:00/14:00~18:00
月曜 10:00~13:00/14:00~18:00
休診日 
日曜・祝日・第2、4木曜・第1、3土曜

総入れ歯+部分入れ歯の症例(2)
ゲルバーデンチャー・アタッチメント義歯

case2

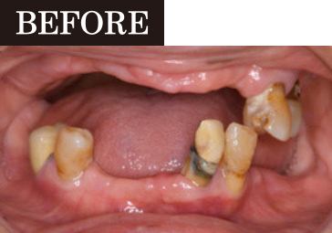
使用している入れ歯が痛い、外れる、噛めない

80代女性

お口に合わない入れ歯は、さまざまな問題を引き起こします。
話す際に動いてしまったり、食事中に歯ぐきと入れ歯の間に食べ物が入り込んで痛みを感じたり。ときには歯ぐきに慢性的な傷ができ、強い痛みを感じてしまうこともあります。

こちらの方も使用中の入れ歯がお口に合わず、さまざまなお悩みを抱えて来院されました。
希望されたのは「痛くない」「外れない」「噛める」入れ歯です。

診断の結果、上あごに状態の良くない歯があったので、抜歯することにしました。
一方、下あごについては残せる歯が2本あり、治療して入れ歯の土台にしました。歯の根っこでも残っていれば入れ歯が沈むのを防げ、より安定するからです。

また、こちらの患者さまは上あごの顎堤(入れ歯を支える土台となる歯ぐき)がかなり痩せており、通常の入れ歯では安定させるのが難しい難症例と呼ばれる状態でした。そのため、お口にフィットする総入れ歯「ゲルバーデンチャー」を採用。

安定性を高め、しっかり噛める入れ歯に仕上げています。

下あごには「アタッチメント義歯」という入れ歯を選びました。
これは残った歯と入れ歯にそれぞれ特殊な連結装置(アタッチメント)を組み込み、装置をつなげることで固定する入れ歯です。ぴったりと連結されるため、外れにくく、しっかり噛めるようになります。

さらに装置が入れ歯の中に隠れるので、保険の入れ歯のように金属の留め具が目立つこともありません。

上下とも、しっかりとお口にフィットするよう、精密に治療を行いました。患者さまの希望する「痛みがない」「外れにくい」「しっかり噛める」入れ歯になっています。

同じようにご使用中の入れ歯でお困りの方は、お気軽にご相談ください。さまざまな治療法の中から、患者さまのお悩みやご希望に合った入れ歯をご提案いたします。

主訴

使用している入れ歯が痛い、外れる、噛めない
治療内容

上あご:ゲルバーデンチャー
下あご:アタッチメント義歯

治療費

3,500,000円(税込)
※治療当時の金額です。

治療期間・回数
10か月・22回
リスク・副作用

ゲルバーデンチャー
強い力をかけると割れる(欠ける)可能性があります。
アタッチメント義歯
治療時に出血を伴う可能性があります。歯磨き、定期健診をきちんとしないと残っている歯への虫歯や歯周病のリスクが高まります。

入れ歯治療をご検討中の方へ

治療に対するこだわりや当院の強みを掲載しています。

保険と自費で異なる点について、詳しく解説しています。

当院がご提供する入れ歯治療についてご紹介します。

煎餅をバリバリ噛める「ゲルバーデンチャー」のご紹介

他人にバレない部分入れ歯「パラレロコーヌス」のご紹介

治療終了までの流れについては、こちらをご確認ください。

安心して受診いただけるよう、院内環境を整えています。

患者さまからよく寄せられるご質問にお答えします。

治療費の分割方法についてご説明するページです。

世界入れ歯コンテストで優勝した技工士が在籍しています。

院長の経歴や治療に対する想いを綴っています。

診療時間やアクセス方法は、こちらをご覧ください。

どうぞお気軽に
ご相談ください

  • 入れ歯で噛むと痛い
  • どこの歯医者でも噛めるようにならない
  • 好きなものを食べたい
  • 急いで入れ歯がほしい

こんな悩みはありませんか?

当院では30~60分の「入れ歯無料相談」を実施しています。ぜひご利用ください。

診療時間
9:30~13:00
14:00~18:00
  • ▲:10:00~13:00
  • 休診日:日曜・祝日・第2、4木曜・第1、3土曜

診療時間

 
午前
午後

午前:9:30~13:00
午後:14:00~18:00
▲:10:00~13:00
休診日:日曜・祝日・第2、4木曜・第1、3土曜

桐山歯科医院 入れ歯専門外来

〒500-8076
岐阜県岐阜市司町22

JR東海道線「岐阜駅」より
バス10分、タクシー10分
京都、大阪、名古屋、大垣市、多治見市、各務原市からも来院多数