〒500-8076 岐阜県岐阜市司町22
JR東海道線「岐阜駅」よりバス10分、タクシー10分
京都、大阪、名古屋、大垣市、多治見市、各務原市からも来院多数

電話でのお問合せ・入れ歯相談予約

0120-836-335
診療時間
火曜・水曜・金曜・土曜
9:30~13:00/14:00~18:00
月曜 10:00~13:00/14:00~18:00
休診日 
日曜・祝日・第2、4木曜・第1、3土曜

部分入れ歯の症例(2)
アタッチメント義歯

case2

虫歯がひどくて食事ができない

30代男性

「虫歯がひどいせいで食事ができないので治療してほしい」とのご希望で、徳島より泊りがけで通院された患者さまです。

入れ歯の種類は、見た目が自然で装着時の違和感が少ない「アタッチメント義歯」をご提案しました。これは土台となる被せ物に、アタッチメントと呼ばれる特殊な装置を組み込むことで固定する部分義歯です。安定感に優れているため、しっかり噛めるようになります。

土台に使用する被せ物については、金属にセラミックを焼き付けた「メタルボンド」を選択しました。見た目の美しさと強度の高さを兼ね備えた入れ歯になっています。

治療前の口腔内
虫歯で歯の根が残った口腔内

診察すると、虫歯が進行して歯の根っこしか残っていない歯が複数ありました。

これらの歯の状態から、単純な虫歯治療では状況を改善できないと判断。残せない歯は抜歯し、残せる歯は入れ歯を支える土台とする治療を行い、その後入れ歯の作製に取り掛かりました。

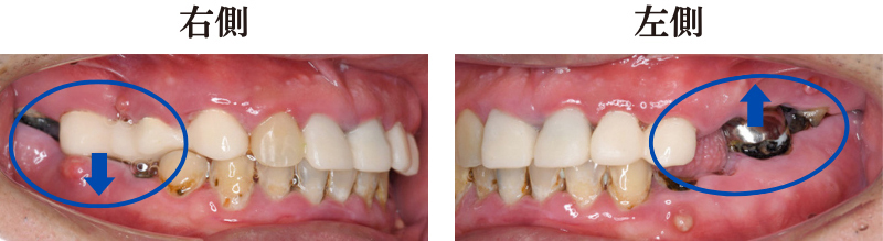
噛み合わせのバランスが
崩れた口腔内

右側は上の歯が下の歯茎まで食い込み、左側は下の歯が上の歯ぐきに食い込み咬み合わせのバランスが崩れている状態でした。

そこで、あごやあごの関節を分析する「Gerber method(ゲルバーメソッド)」という理論を取り入れてアタッチメント義歯を作製。患者さまに適した咬み合わせに調整しました。しっかり噛めるようになるだけでなく、崩れてしまった咬み合わせのバランスも整えられます。

患者さまに完成した入れ歯をはめていただくと、「しっかり噛めるようになった」とご満足いただけました。これからはお食事を楽しんでいただけることでしょう。

当院には遠方からも、お口のトラブルで悩まれている方が多く来院されます。虫歯を放置してしまい、「こんな状態で行ったらなんと言われるか…」と相談するのをためらう方もいらっしゃるかもしれませんが、ご心配はいりません。ぜひ気軽にご相談にいらしてください。

主訴

虫歯がひどくて食事ができない
治療内容

上下:アタッチメント義歯(ゲルバーメソッドを用いて作製)+メタルボンド11本

治療費

7,500,000円(税込)
※治療当時の金額です。

治療期間・回数
16か月・20回
リスク・副作用

治療時に出血を伴う可能性があります。歯磨き、定期健診をきちんとしないと残っている歯への虫歯や歯周病のリスクが高まります。

入れ歯治療をご検討中の方へ

治療に対するこだわりや当院の強みを掲載しています。

保険と自費で異なる点について、詳しく解説しています。

当院がご提供する入れ歯治療についてご紹介します。

煎餅をバリバリ噛める「ゲルバーデンチャー」のご紹介

他人にバレない部分入れ歯「パラレロコーヌス」のご紹介

治療終了までの流れについては、こちらをご確認ください。

安心して受診いただけるよう、院内環境を整えています。

患者さまからよく寄せられるご質問にお答えします。

治療費の分割方法についてご説明するページです。

世界入れ歯コンテストで優勝した技工士が在籍しています。

院長の経歴や治療に対する想いを綴っています。

診療時間やアクセス方法は、こちらをご覧ください。

どうぞお気軽に
ご相談ください

  • 入れ歯で噛むと痛い
  • どこの歯医者でも噛めるようにならない
  • 好きなものを食べたい
  • 急いで入れ歯がほしい

こんな悩みはありませんか?

当院では30~60分の「入れ歯無料相談」を実施しています。ぜひご利用ください。

診療時間
9:30~13:00
14:00~18:00
  • ▲:10:00~13:00
  • 休診日:日曜・祝日・第2、4木曜・第1、3土曜

診療時間

 
午前
午後

午前:9:30~13:00
午後:14:00~18:00
▲:10:00~13:00
休診日:日曜・祝日・第2、4木曜・第1、3土曜

桐山歯科医院 入れ歯専門外来

〒500-8076
岐阜県岐阜市司町22

JR東海道線「岐阜駅」より
バス10分、タクシー10分
京都、大阪、名古屋、大垣市、多治見市、各務原市からも来院多数