〒500-8076 岐阜県岐阜市司町22
JR東海道線「岐阜駅」よりバス10分、タクシー10分
京都、大阪、名古屋、大垣市、多治見市、各務原市からも来院多数

電話でのお問合せ・入れ歯相談予約

0120-836-335
診療時間
火曜・水曜・金曜・土曜
9:30~13:00/14:00~18:00
月曜 10:00~13:00/14:00~18:00
休診日 
日曜・祝日・第2、4木曜・第1、3土曜

総入れ歯の症例+部分入れ歯の症例(4)
ゲルバーデンチャー

case4

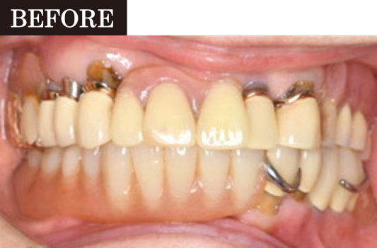
他院で作った仮の入れ歯が合わない

70代女性

使っていた入れ歯が壊れてしまい、上下とも仮の部分入れ歯を装着中の患者さまです。仮の入れ歯がお口に合わないため当院で治療を受けたい、と遠方の広島から来院されました。

どのような入れ歯をご希望なのか伺うと、使用していたものと同じ部分入れ歯を希望されました。しかし詳しく診察した結果、上あごの歯の状態が良くないことが判明。お口の状況や抜歯の必要性を患者さまにご説明し、上あごは総入れ歯、下あごは部分入れ歯をおすすめしました。

当院では、「患者さまにとって最良の治療方法」のご提案をモットーにしています。歯を残せば一時的にはご満足いただけるかもしれません。ところが、状態の良くない歯を残して入れ歯を作った場合、その歯がダメになると入れ歯の修理や作り直しが発生するリスクが高まってしまうのです。

このようなメリット・デメリットをしっかりと患者さまにご説明し、ご納得いただいてから入れ歯の作製を開始するのが、私どもの方針です。

上あごの総入れ歯は、あごの関節を分析し、その方に適した咬み合わせを実現する「ゲルバーデンチャー」を選択しました。この治療では、ゲルバーデンチャーの理論「Gerber method(ゲルバーメソッド)」に基づいて入れ歯を作製します。

通常、ゲルバーメソッドは総入れ歯に用いられますが、今回は下の部分入れ歯にも取り入れました。この理論を用いて作製することで、顎関節に負担がかからない、安定して噛める入れ歯に仕上げています。

出来上がった入れ歯をご使用いただくと、「お口にフィットしてしっかり噛めるようになった」「遠くから通う価値があった。作製を依頼して本当に良かった」と、大変好評でした。

当院では、患者さまのお悩みに真摯に向き合いながら治療を進めています。入れ歯に関するお悩みがありましたら、ぜひ一度ご相談ください。

主訴

他院で作った仮の入れ歯が合わない
治療内容

上あご:ゲルバーデンチャー(総入れ歯)
下あご:ゲルバーメソッドを用いて作製した部分入れ歯

治療費

3,300,000円(税込)
※治療当時の金額です。

治療期間・回数
4か月・12回
リスク・副作用

強い力をかけると割れる(欠ける)可能性があります。

入れ歯治療をご検討中の方へ

治療に対するこだわりや当院の強みを掲載しています。

保険と自費で異なる点について、詳しく解説しています。

当院がご提供する入れ歯治療についてご紹介します。

煎餅をバリバリ噛める「ゲルバーデンチャー」のご紹介

他人にバレない部分入れ歯「パラレロコーヌス」のご紹介

治療終了までの流れについては、こちらをご確認ください。

安心して受診いただけるよう、院内環境を整えています。

患者さまからよく寄せられるご質問にお答えします。

治療費の分割方法についてご説明するページです。

世界入れ歯コンテストで優勝した技工士が在籍しています。

院長の経歴や治療に対する想いを綴っています。

診療時間やアクセス方法は、こちらをご覧ください。

どうぞお気軽に
ご相談ください

  • 入れ歯で噛むと痛い
  • どこの歯医者でも噛めるようにならない
  • 好きなものを食べたい
  • 急いで入れ歯がほしい

こんな悩みはありませんか?

当院では30~60分の「入れ歯無料相談」を実施しています。ぜひご利用ください。

診療時間
9:30~13:00
14:00~18:00
  • ▲:10:00~13:00
  • 休診日:日曜・祝日・第2、4木曜・第1、3土曜

診療時間

 
午前
午後

午前:9:30~13:00
午後:14:00~18:00
▲:10:00~13:00
休診日:日曜・祝日・第2、4木曜・第1、3土曜

桐山歯科医院 入れ歯専門外来

〒500-8076
岐阜県岐阜市司町22

JR東海道線「岐阜駅」より
バス10分、タクシー10分
京都、大阪、名古屋、大垣市、多治見市、各務原市からも来院多数